A robust 18-year-old man has died after eating too much pork. Did you know that pork meat can carry brain-eating parasitic larvae capable of invading your mind and eating away at the tissue of your brain? Following a seizure, the young man was rushed to the hospital to be treated for the pork-based parasite, but doctors were not fast enough to save his brain from the all-consuming parasite.
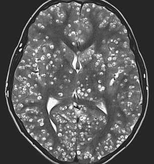
In the MRI scan, you can see the young man’s brain. The damage that the pork-based parasite caused is consistent with neurocysticercosis, which is extremely dangerous and deadly in many cases. The condition occurs when parasitic larvae bust into the brain after you eat under-cooked pork products. These larvae hole up inside your body until they’re strong enough to invade your nervous system and travel to your brain.
When the parasites make it to your brain, they proceed to consume parts of it, inducing seizures and threatening your life.
Although the man had the best doctors tending to him, he was unable to survive. The pork-based parasites killed him two weeks after he was hospitalized.
Take a look at the brain scans. Do you see those white spots? Well, those are the parasites invading the Indian boy’s brain.
The case was so severe it warranted further exploration. A paper about it was published in The New England Journal of Medicine. Dr. Nishanth Dev from ESIC Medical College in Faridabad, which is located in northern India. Dr. Dev was the physician who treated the young boy who ate undercooked pork.
Tonic-clonic seizures rendered the young man hopeless. That’s when he was rushed to the ESIC Medical College for tests and treatment. But it was too late. By the time he arrived in Dr. Dev’s care, the parasites were making a home of the man’s brain and were not planning to go anywhere.
Tonic-clonic seizures can last up to three minutes or at least one minute. If these seizures stretch on for five minutes or more – or occur one after the other, the patient requires life-saving treatment.
When the man made it to the hospital, the man was confused. However, this is a common symptom associated with the type of seizures he was having.
The robust man’s parents told the doctors that he had complained about pain in his groin for a while. Doctors found tenderness in his right testicle and swelling in his eye. The MRI found that the truth was much worse than anyone could have imagined.
Cysts were discovered along the man’s cerebral cortex. This is an essential part of the brain. It rules our thinking and information processing. The parasites were so ingrained in the man’s brain that they were affecting his ability to use his five senses.
When tests confirmed T. solium had infected him, doctors prescribed antiparasitic drugs. They also gave him anti-epilepsy drugs. Nothing worked. He died only days later.
The lesson: Don’t eat undercooked pork – or you might get brain-eating parasites.




