An old man didn’t go to the bathroom for a week. The 80-year-old, who lives in Taiwan, suffered severe constipation and was discovered collapsed inside the living room of his home earlier this week. Because he was in severe pain, he was rushed to the hospital, where he made a striking confession to the doctors: he had not relieved his bowels in more than a week.
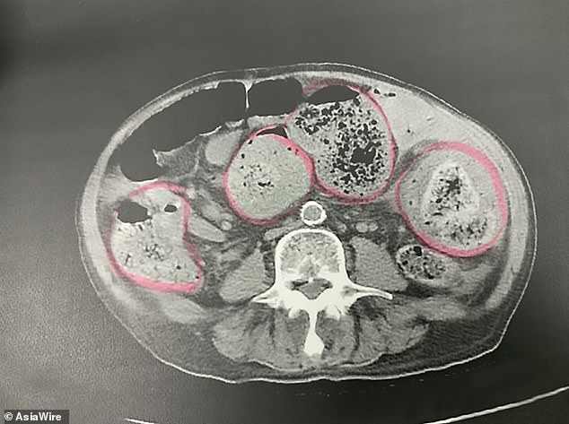
As soon as doctors learned the facts of his situation, they performed a scan of his midsection and found something alarming. There was a nearly 15-inch brick of hardened feces blocking his digestive tract.
Because the man was at risk of “exploding” because of the fecal hockey puck, they decided to put him into emergency surgery. However, the doctors at the Kaohsiung facility had their work cut out for them because they needed to remove a foot-long section of the elderly man’s bowel in order to get the solidified blockage out of his body.
Because the man had apparently not expelled his bowels properly in a long time, he had necrotic bowel tissue in his body. This part of his digestive tract had died because it was full of stuck excrement.
The situation had grown dire. The man had developed a fever of 102 degrees and was in a lot of pain all the time. He was diagnosed with ulcerative colitis, which is a dangerous form of inflammatory bowel disease that affects the digestive system. But in this Taiwanese man’s case, his bowels could have “exploded” because of the massive buildup of fecal matter that had accumulated within him over time.
One of the doctors who treated the anonymous patient, Hsieh Yi-chien, told local media that the man’s bowels could have “exploded” if he had not arrived when he did. If they did explode, then the elderly man would have suffered from sepsis, or blood poisoning, and the infection probably would have killed him.
Doctors did not say why the man had failed to move his bowels for long enough to have a 15-inch brick of solid excrement lodged in his intestines. However, it seems safe to assume that he had been dealing with the problem for a long time and likely did not eat a balanced diet filled with fiber and other vital nutrients that could have helped ease his situation.
When people have untreated constipation, they can suffer from painful fecal impaction, which means a chunk of poop gets stuck inside the body.
After he underwent surgery to get the 15-inch blockage removed from his body, the old man stayed in the hospital for two weeks to recover. The time did him well because he had doctor supervision and time to work with nutritionists who may have been able to educate him on better ways to eat so this problem did not happen again.
Constipation affects millions of people. Lifestyle and diet changes are often all that is needed to fix the uncomfortable problem.




